Dr. Philip Polus Patient Before & After Smile Gallery

In the Crown Point, Merrillville, Winfield, Cedar Lake & St. John Area

Before & After Gallery Featuring Results from Thousands of Oral Restoration Cases

Welcome to the Before and After Gallery of Dr. Philip Polus at Polus Dental. Here, you can see the transformative results our patients have experienced through our advanced treatments, including dental implants, reconstructive dentistry, teeth whitening, veneers, bonding, crowns and bridges. These real-life examples showcase the exceptional care and expertise we provide, helping patients achieve improved smiles and enhanced quality of life. Explore the gallery to discover how we can help you reach your dental goals with precision, comfort, and outstanding results.

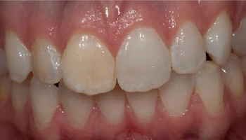
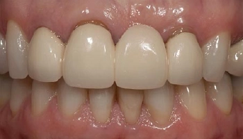
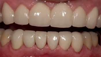
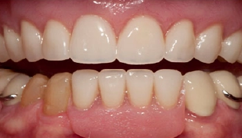
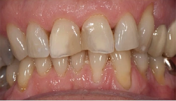
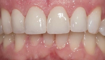
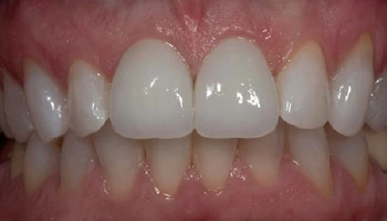
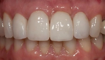
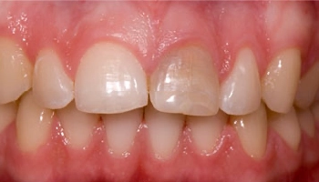
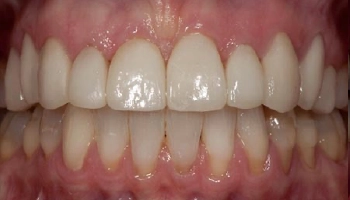
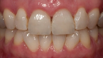
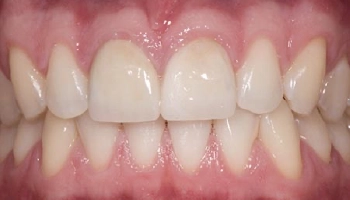
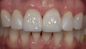
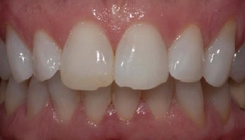
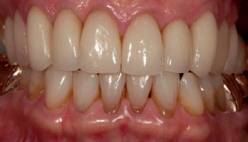
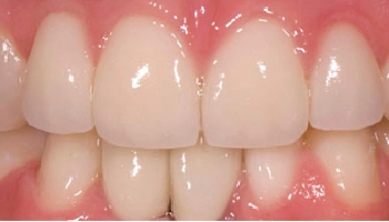
Reconstructive Dentistry: Porcelain layered zirconia crowns

Before and after comparison of zirconia crown treatment. After image of a smile featuring porcelain layered zirconia crowns.

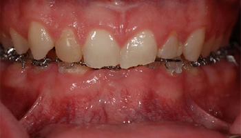
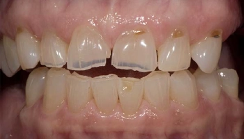
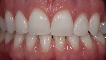
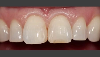
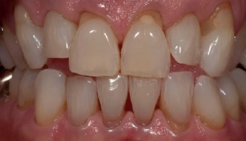
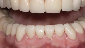
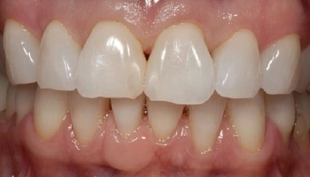
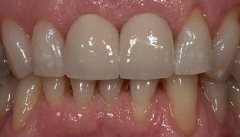
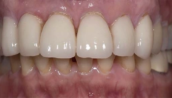
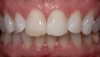
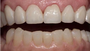
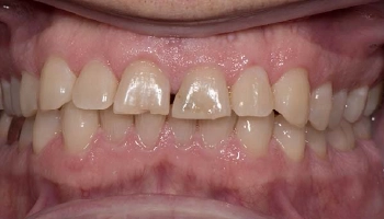
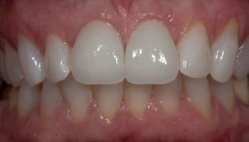
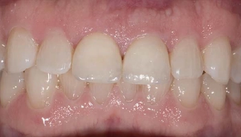
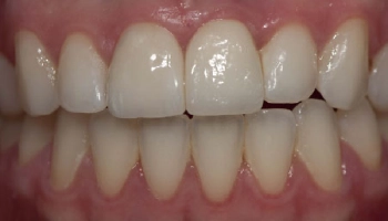
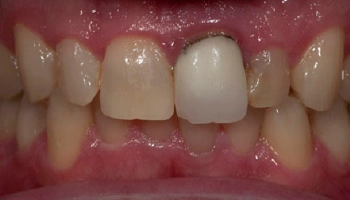
Esthetic Dentistry: Porcelain layered zirconia crowns

Before and after comparison of porcelain layered zirconia crowns. After image of a dental restoration with porcelain layered zirconia crowns.

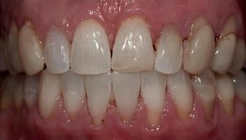
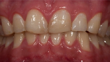
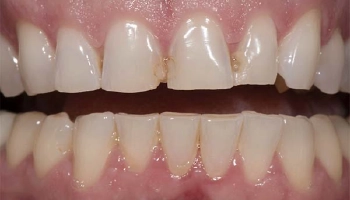
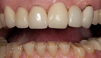
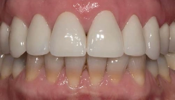
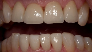
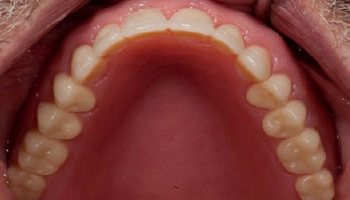
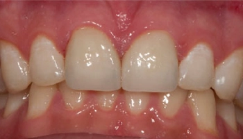
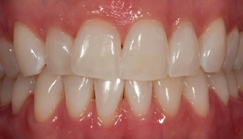
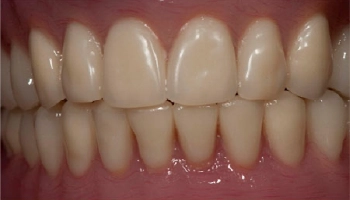
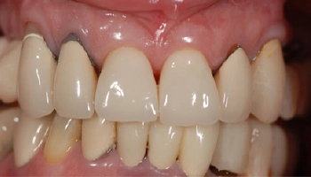
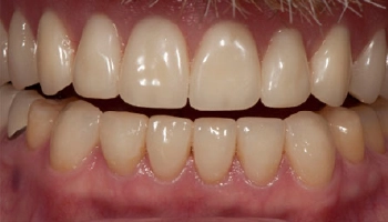
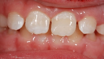
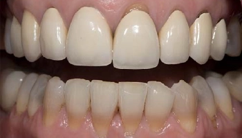
Reconstructive Dentistry: Porcelain layered zirconia crowns

Before and after images of porcelain layered zirconia crowns. Before and after display of porcelain layered zirconia crowns.

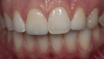
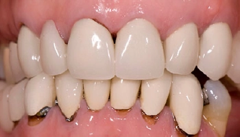
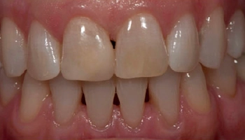
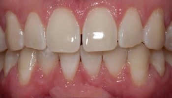
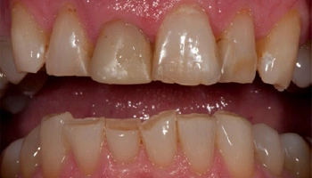
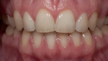
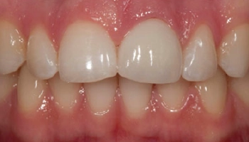
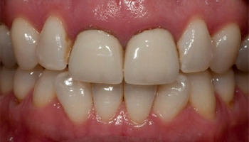
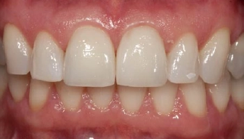
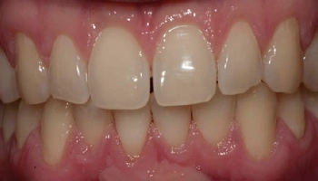
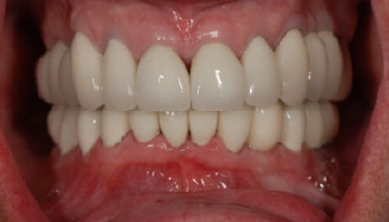
Esthetic Dentistry: Porcelain layered zirconia crowns

Before and after comparison of porcelain layered zirconia crowns. Transformed smile with porcelain layered zirconia crowns.

Esthetic Dentistry: Porcelain layered zirconia crowns

Before and after comparison of zirconia dental crowns. After: Smile transformation with porcelain layered zirconia crowns.

Reconstructive Dentistry: Porcelain layered zirconia crowns

Side-by-side comparison of dental crowns before and after treatment. Before and after images of porcelain layered zirconia crowns.

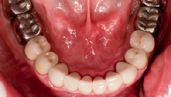
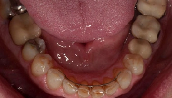
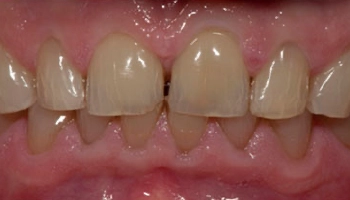
Reconstructive Dentistry: Monolithic zirconia crowns

Before and after comparison of monolithic zirconia crowns. After image of a patient’s smile with monolithic zirconia crowns.

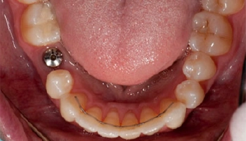
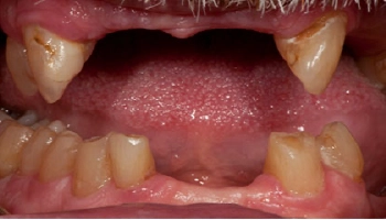
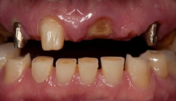
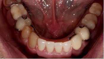
Reconstructive Dentistry: Bridge, implant & single crowns

Before and after images of dental bridge and crown restoration. Before and after of dental bridge, implant, and crowns.

Reconstructive Dentistry: eramic crowns and veneers

Before and after images of ceramic crowns and veneers on teeth. Before and after image of dental crowns and veneers.

Esthetic Dentistry: Ceramic crowns

Before and after images of ceramic crown dental treatments. Transformed smile showcasing ceramic crowns in before/after comparison. Before and after images of a patient’s smile with ceramic crowns. Before and after comparison of ceramic crowns on teeth.

Esthetic Dentistry: Ceramic crowns

Before and after comparison of ceramic crowns on teeth. Before and after images of ceramic crowns on teeth.

Whitening

Before and after dental whitening results, showcasing improved teeth brightness. Before and after comparison of teeth whitening results.

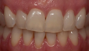
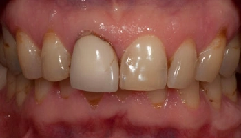
Trauma: Central Incisor veneers

Before and after images of central incisor veneers. Before and after images of central incisor veneers.

Trauma: Implant, crown & veneer

Before and after dental restoration with implant, crown, and veneer. After dental restoration featuring an implant, crown, and veneer.

Trauma: Crowns

Before trauma image showing dental crowns and patient condition. A dental crown showing improvement after trauma treatment.

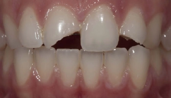
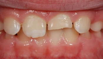
Trauma: Reattach Fragment with Composite Bonding

Before and after images of tooth fragment reattachment with composite bonding. Dental restoration showing composite bonding after trauma repair.

Esthetic Dentistry: Ceramic crowns

Before and after images showing transformation with ceramic crowns. After image showing improved smile with ceramic crowns.

Esthetic Dentistry: Porcelain Veneers

Comparison of a smile before and after porcelain veneers. Close-up of a patient's smile after porcelain veneers treatment.

Esthetic Dentistry: Porcelain Veneer

Before and after results of porcelain veneer treatment on a smile. Before and after porcelain veneer treatment on a smile.

Esthetic Dentistry: Porcelain crown

Before and after images of a porcelain dental crown. Before and after images of a porcelain crown procedure.

Esthetic Dentistry: Porcelain crowns

Before and after images of teeth with porcelain crowns. Transformed smile with new porcelain crowns after treatment.

Esthetic Dentistry: Porcelain Crowns

Before and after comparison of porcelain crown dental work. Patient's smile before and after porcelain crowns for enhanced aesthetics.

Esthetic Dentistry: Crown Lengthening & Porcelain Crowns

Before and after comparison of crown lengthening and porcelain crowns. After image showing enhanced smile with porcelain crowns and gum contouring.

Esthetic Dentistry: Porcelain crowns

Before and after images of dental porcelain crowns. Patient's smile transformation with porcelain crowns after treatment.

Esthetic Dentistry: Bleaching & Porcelain Crowns

Before and after results of teeth bleaching and porcelain crowns. Transformed smile showcasing whiter teeth and porcelain crowns.

Esthetic Dentistry: Bleaching, Porcelain Crowns & Composite Bonding

Before and after comparison of a smile enhanced by dental procedures. Before and after transformation of a smile with dental enhancements.

Reconstructive Dentistry: Implants & crowns

Before and after images of dental implants and crowns. Before and after comparison of dental implants and crowns.

Reconstructive Dentistry: Implants & crowns

Before and after reconstructive dentistry with dental implants and crowns. Before and after comparison of dental implants and crowns.

Reconstructive Dentistry: Full Mouth Reconstruction

Transformative full mouth reconstruction showcasing improved dental aesthetics. Transformed smile after full mouth reconstruction, showcasing enhanced dental aesthetics. Before and after comparison of a full mouth reconstruction. Smiling patient showcasing improved dental alignment post-reconstruction. After image of a transformed smile post full mouth reconstruction. Transformed smile after full mouth reconstruction dental treatment.

Reconstructive Dentistry: Denture, Lower Crowns & Bonding

Before and after comparison of dentures and dental crowns. Before and after comparison of lower crowns and denture restoration.

Reconstructive Dentistry: Denture, Crowns & Partial Denture

Before and after images of reconstructive dentistry with crowns and dentures. Before-and-after comparison of a dental crown restoration. Before and after images of a dental restoration transformation. Before and after images of dentures and crowns restoration. Before and after images of dental crowns and partial dentures. Before and after image of dental crowns and dentures.

Reconstructive Dentistry: Orthodontics, implants,
bleaching, veneers & implant crowns

Before and after images of a smile transformation with dental procedures. After image showing enhanced smile with orthodontics and veneers.

Reconstructive Dentistry: Porcelain implant crown

Before/after comparison of a porcelain implant crown restoration. Close-up of a porcelain implant crown after placement.

Composite Bonding: New Composite

Before/after comparison of dental composite bonding results. After image of improved dental composite bonding.

Composite Bonding: Composite Filling

Before and after views of composite bonding on a tooth. After image of a tooth with composite filling restoration.

Reconstructive Dentistry: Composite crowns

Before and after images of composite crown dental work. After view of a smile with composite crowns.

Implant retained lower denture

Before and after photos of an implant retained lower denture. Comparison of lower denture before and after implant retention.

4 Implant Retained Maxillary Denture

Before image of a maxillary denture, showing missing teeth. After image of a maxillary denture supported by four implants. Before and after images of a maxillary denture with implants.

Chairside Bleaching

Before and after results of chairside teeth bleaching treatment. After chairside bleaching, noticeably whiter teeth.

Chairside Bleaching

Before and after images of teeth whitening results. Teeth after chairside bleaching treatment, visibly whiter and brighter.

Chairside Bleaching

Before and after results of chairside teeth bleaching procedure. Before and after comparison of teeth whitening results.
5 Stars Google Logo
5-Star Google Review

"From the moment you walk in you will experience kindness throughout the whole staff. The establishment is clean and they have state of the art equipment. I couldn’t give a higher recommendation. Absolutely perfect in my opinion!"

— Vastalcan
Modern dental technology icon with a sleek design.

State-Of-The-Art Dental Technologies

» Learn More
Calendar icon representing appointment scheduling.

Request An Appointment

» Learn More
Five-star rating icon representing positive customer reviews
500+ 5-STAR REVIEWS
Learn More »
Illustration of dental implants and related dental tools.
DENTAL IMPLANTS
Learn More »
Icon representing dental emergency services.
DENTAL EMERGENCY
Learn More »

Office Hours

Monday
7:30am - 5:00pm
Tuesday
7:30am - 5:00pm
Wednesday
7:30am - 5:00pm
Thursday
7:30am - 5:00pm
Friday
7:30am - 1:00pm

Quick Links

Request an Appointment » Online Payment »
© All Rights Reserved. Polus Dental 2026