Dr. Alexandra Polus Patient Before & After Smile Gallery

In the Crown Point, Merrillville, Winfield, Cedar Lake & St. John Area

Before & After Gallery Featuring Results from Thousands of Oral Restoration Cases

Welcome to the Before and After Gallery of Dr. Alexandra Polus at Polus Dental. Here, you can see the transformative results our patients have experienced through our advanced treatments, including dental implants, bondings, gingival recession, cleft palate, veneers, crowns, and bridges. These real-life examples showcase the exceptional care and expertise we provide, helping patients achieve improved smiles and enhanced quality of life. Explore the gallery to discover how we can help you reach your dental goals with precision, comfort, and outstanding results.

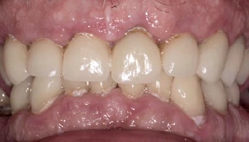
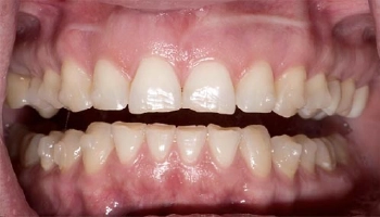
Reconstructive Dentistry: Crown lengthening &
porcelain layered zirconia crowns

Before and after images of crown lengthening and zirconia crowns. Patient's smile before and after crown lengthening and zirconia crowns.

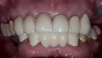
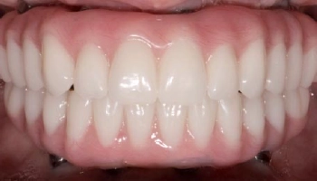
Full Arch Replacement: Upper & lower full arch
monolithic zirconia prostheses

Before and after comparison of full arch zirconia prostheses. Before and after images of full arch zirconia prostheses. Before and after images of full arch zirconia prostheses. Before and after images of full arch zirconia dental prostheses.

Full Arch Replacement: Upper & lower full arch
acrylic/titanium bar prostheses

Before and after images of upper and lower dental prostheses. Before and after images of full arch prostheses replacement. Before and after images of upper and lower dental prostheses. Before and after images of full arch acrylic/titanium prostheses.

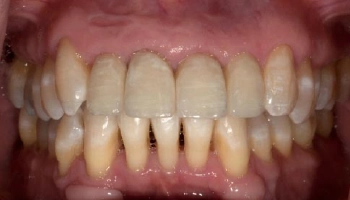
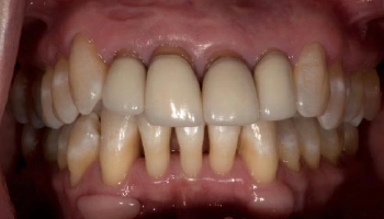
Full Mouth Reconstruction: Crown lengthening &
monolithic zirconia crowns

Before and after images of a full mouth reconstruction. Before and after images of dental crowns and crown lengthening. Before and after images of dental crown procedures. Before and after images of a full mouth reconstruction procedure.

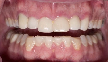
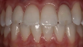
Esthetic Dentistry: Porcelain layered zirconia crowns

Before and after photos of porcelain layered zirconia crowns on teeth. Transformed smile showcasing porcelain layered zirconia crowns. Before and after image of polished zirconia crowns on teeth. Before and after comparison of porcelain layered zirconia crowns.

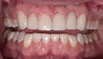
Esthetic Dentistry: Orthodontics, whitening &
porcelain layered zirconia crowns

Before and after images showcasing improved smile aesthetics with dental treatments. Transformed smile showcasing orthodontics, whitening, and zirconia crowns. After photo showing bright, aligned teeth with porcelain zirconia crowns. Transformed smile showcasing orthodontics and porcelain crowns.

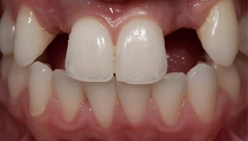
Congenitally Missing Teeth: Two single lateral incisor
implants with porcelain layered zirconia crowns

Before and after images of lateral incisor implants with crowns. Before and after images of lateral incisor implants with crowns.

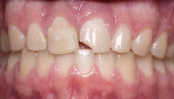
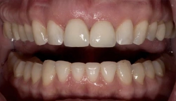
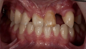
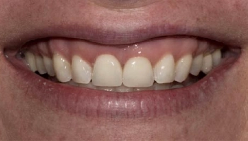
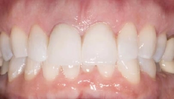
Esthetic Dentistry: Central incisor porcelain layered
zirconia crowns

Before and after of central incisor zirconia crowns. Comparison of before and after central incisor crowns. Before and after of central incisor zirconia crowns. Side-by-side comparison of central incisor crowns before and after placement.

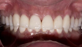
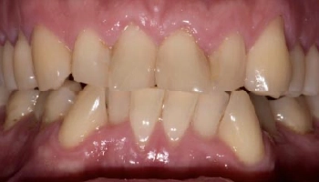
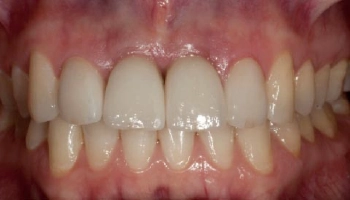
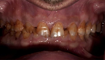
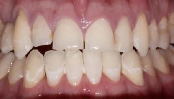
Esthetic Dentistry: Central incisor porcelain layered
zirconia crowns

Before and after comparison of central incisor zirconia crowns. Before and after comparison of central incisor zirconia crowns. Transformation of central incisors with porcelain layered zirconia crowns. Before and after images of central incisor crowns.

Trauma: Single implant with lithium disilicate crown
& lithium disilicate veneer

Before and after images of a dental implant and crown restoration. Before and after images of dental implant and veneers.

Trauma: Two single central incisor implants & lateral
incisors with porcelain layered zirconia crowns

Before and after images of incisor implants with crowns. Before and after comparison of incisor implants and crowns.

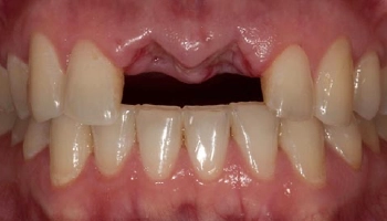
Cleft Palate: Two central incisor implants supporting
a 4 unit porcelain fused to metal bridge

Before and after images of dental implants with a bridge. Before and after images of central incisor implants and bridge. Before and after images of dental implants supporting a bridge. Before and after images of cleft palate dental implants.

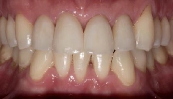
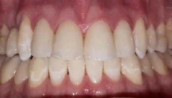
Esthetic Dentistry: Porcelain layered zirconia crowns

Before and after comparison of zirconia crowns on teeth. Transformative result showing polished porcelain layered zirconia crowns. Dramatic smile transformation with porcelain layered zirconia crowns. Beautiful smile transformation with porcelain layered zirconia crowns.
5 Stars Google Logo
5-Star Google Review

"From the moment you walk in you will experience kindness throughout the whole staff. The establishment is clean and they have state of the art equipment. I couldn’t give a higher recommendation. Absolutely perfect in my opinion!"

— Vastalcan
Modern dental technology icon with a sleek design.

State-Of-The-Art Dental Technologies

» Learn More
Calendar icon representing appointment scheduling.

Request An Appointment

» Learn More
Five-star rating icon representing positive customer reviews
500+ 5-STAR REVIEWS
Learn More »
Illustration of dental implants and related dental tools.
DENTAL IMPLANTS
Learn More »
Icon representing dental emergency services.
DENTAL EMERGENCY
Learn More »

Office Hours

Monday
7:30am - 5:00pm
Tuesday
7:30am - 5:00pm
Wednesday
7:30am - 5:00pm
Thursday
7:30am - 5:00pm
Friday
7:30am - 1:00pm

Quick Links

Request an Appointment » Online Payment »
© All Rights Reserved. Polus Dental 2026